標本の説明
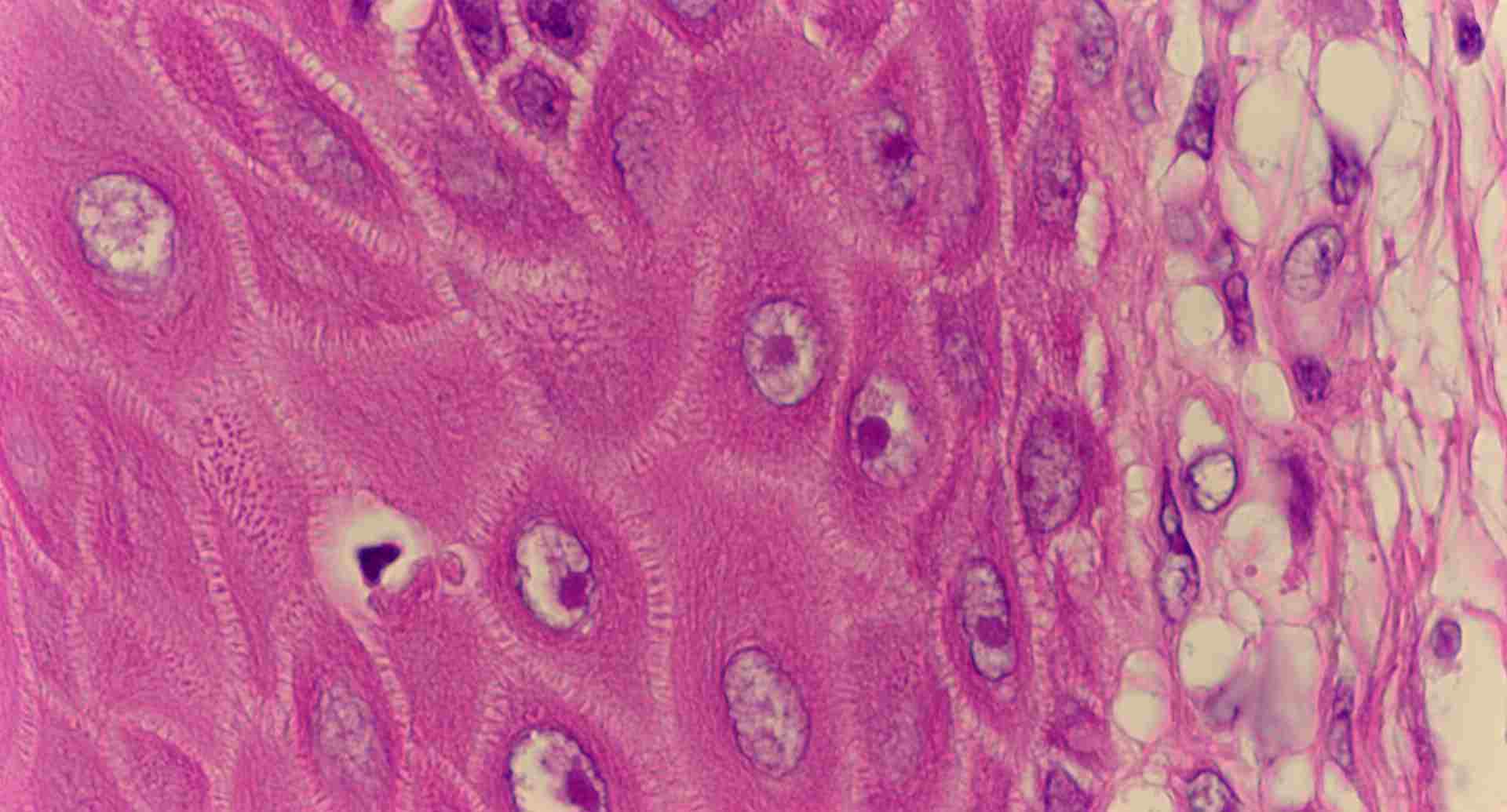
標本6
標本6(94KB)
標本6の説明
標本一覧に戻る